Radiologie
Interventionnelle
Hôpital Universitaire de la Pitié Salpêtrière - Paris
Qu'est-ce que la radiologie interventionnelle ?
La Radiologie Interventionnelle est une technique de médecine moderne qui vise à traiter un grand nombre de pathologies de façon non-invasive. Depuis plusieurs années, la radiologie interventionnelle n’a cessé de se développer grâce aux progrès technologiques et informatiques.
Elle permet d'accéder à un organe en profondeur en utilisant les voies naturelles (système urinaire, tube digestif…), le réseau vasculaire (artères ou veines) ou en choisissant un chemin court et sans risque au travers d'un organe.
Les techniques d’imagerie disponibles au bloc opératoire (scanner, échographie, fluoroscopie) permettent au radiologue interventionnel de visualiser en profondeur par l’intermédiaire d’un grand écran radiologique et effectuer le traitement nécessaire, sans avoir à ouvrir la peau et les tissus comme lors d’une chirurgie classique. L’intervention ne laisse donc pas de cicatrice à long terme dans l’immense majorité des cas.
Domaines d'expertise
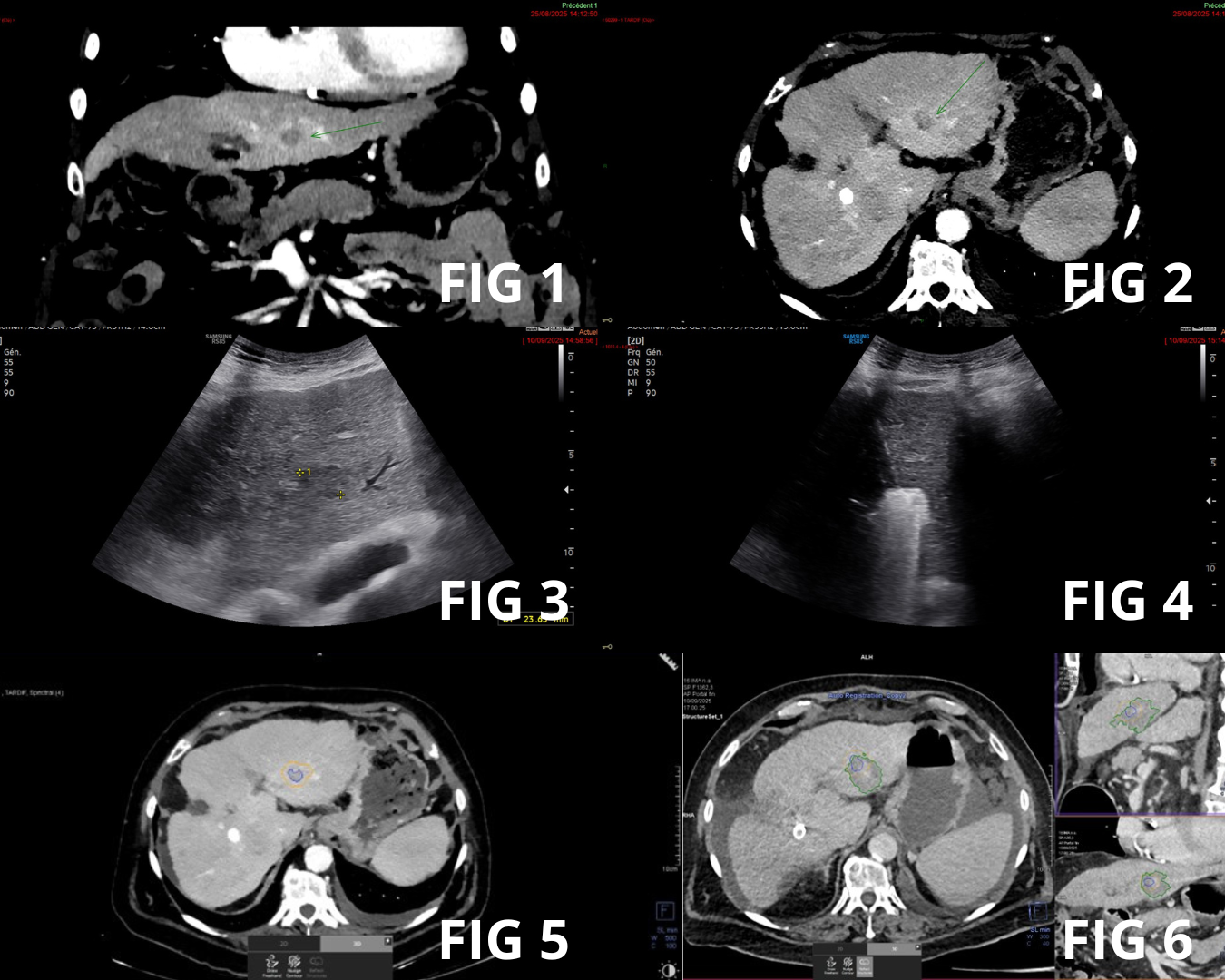
Maladie du foie :
- Hypertension portale : création de shunt porto-cave par voie trans-jugulaire (TIPS), embolisation de varices d’hypertension portale, recanalisation complexe, prise en charge post-transplantation hépatique
- Traitements mini-invasif des lésions tumorales : traitements intra-artériels, destructions tumorales percutanées
Pour en savoir plus, consultez le site de l'Institut du foie.
Pathologies urologiques et gynécologiques :
- Myomes utérins et adénomyose, varices pelviennes, varicocèles, endométriose pariétale, dysfonction érectile, hypertrophie de prostate
Lésions vasculaires :
- Artères : artériopathie oblitérante, pied diabétique,
- Veines : thrombo-aspiration de phlébite récente ou embolie pulmonaire, recanalisation de séquelles de phlébite, syndrome de Nutcracker, syndrome de May-Thurner/Cockett
Traitement des hémorroïdes internes symptomatiques
Prise en charge des fistules de dialyse
L'équipe de radiologie interventionnelle
Des médecins radiologues spécialisés en radiologie interventionnelle au sein du groupe hospitalo-universitaire de la Pitié Salpêtrière à Paris
QU'EST QUE LA RADIOLOGIE INTERVENTIONNELLE
Actualité de la radiologie interventionnelle
Le service de Radiologie Interventionnelle assure la prise en charge des urgences 7J/7, 24h/24,

Prendre rendez-vous
Vous souhaitez prendre rendez-vous avec un médecin de l’équipe de radiologie interventionnelle : consultez cette page et remplissez le formulaire de demande. Vous serez contacté rapidement.
Venir en Radiologie interventionnelle
Vous souhaitez venir à l'unité de radiologie interventionnelle pour un rendez-vous ou une intervention, nous vous indiquons toutes les possibilités pour vous rendre au sein de notre service.











