Cas Clinique : Pneumothorax artificiel pour cryoablation hépatique transthoracique
Patient de 79 ans suivi pour un adénocarcinome sigmoïdien
𝗔𝗻𝘁𝗲́𝗰𝗲́𝗱𝗲𝗻𝘁𝘀 : ablation percutanée par micro-ondes d’une métastase hépatique du dôme du segment 𝗩𝗜𝗜 (𝗙𝗶𝗴𝘂𝗿𝗲 𝟭)
𝗟’𝗵𝗶𝘀𝘁𝗼𝗶𝗿𝗲 𝗱𝗲 𝗹𝗮 𝗺𝗮𝗹𝗮𝗱𝗶𝗲 :
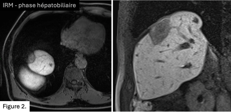
Au cours du suivi, apparition d’une hernie diaphragmatique et d’une lésion centimétrique au dôme du segment 𝗩𝗜𝗜 (𝗙𝗶𝗴𝘂𝗿𝗲 𝟮)
La 𝗥𝗖𝗣 propose une ablation percutanée. Le choix se porte sur la cryothérapie afin d’éviter l’aggravation de la hernie diaphragmatique.
𝗟𝗮 𝗽𝗿𝗼𝗰𝗲́𝗱𝘂𝗿𝗲 :
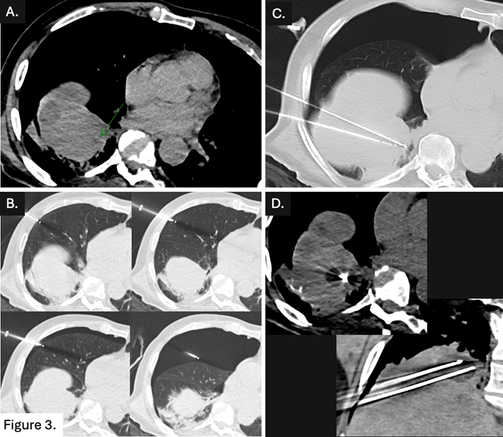
La lésion n'étant pas visualisée en échographie, un guidage scanner a été réalisé (𝗙𝗶𝗴𝘂𝗿𝗲 𝟯. 𝗔).
Création d'un pneumothorax droit intentionnel au 𝗖𝗢𝟮 à l’aide d’une aiguille de 𝗩𝗲𝗿𝗲𝘀𝘀 (𝗕) pour permettre une ponction transthoracique avec deux aiguilles de cryothérapie (𝗖, 𝗗).
𝗦𝘂𝗶𝘁𝗲𝘀 :
- Régression spontanée du pneumothorax en fin de procédure
- Sortie d’hospitalisation le lendemain matin sans douleur
C𝗼𝗻𝘁𝗿𝗼̂𝗹𝗲 : zone d'ablation satisfaisante au scanner à 𝟭 mois (𝗙𝗶𝗴𝘂𝗿𝗲 𝟰).














