Varicocèle et infertilité masculine : l'embolisation, une avancée mini-invasive qui change la donne
La varicocèle est la plus fréquente cause corrigible d’infertilité masculine.

La varicocèle est la plus fréquente cause corrigible d’infertilité masculine.
Elle entraîne des modifications de la circulation veineuse au niveau du cordon spermatique, pouvant altérer la qualité du sperme.
Bonne nouvelle : l'embolisation de varicocèle s'impose aujourd'hui comme une alternative moderne et sûre.
Pourquoi l'embolisation ?
• Procédure mini-invasive réalisée en radiologie interventionnelle
• Sous anesthésie locale
• Pas d’incision
• Sortie une heure après la fin de l’intervention en hôpital de jour
• Retour à une activité normale en général dans les 24-48 heures
• Bons résultats sur l’amélioration des paramètres spermatiques
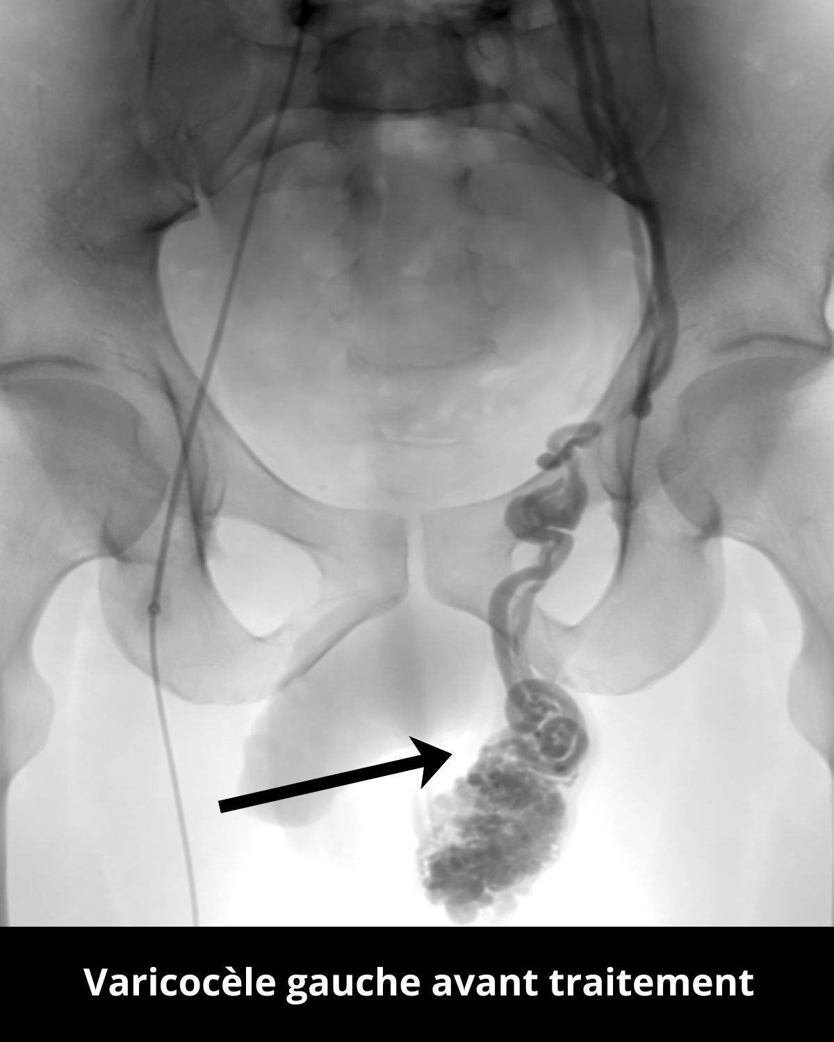
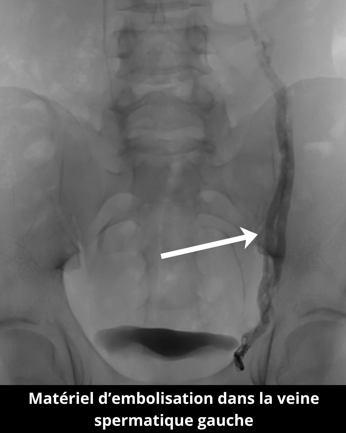
Cas Clinique
Ici le cas d’un patient consultant pour une infertilité depuis 2023.
Une petite ponction au niveau du pli de l’aine droit permet d’accéder à la veine spermatique pour la boucher de manière ciblée grâce à de la colle et des coïls, corrigeant ainsi le reflux responsable de la varicocèle.












