Workshop Terumo Embolisation Tumorale
L’embolisation tumorale consiste en l’occlusion sélective des artères nourricières d’une tumeur par voie endovasculaire, sous guidage fluoroscopique. Son objectif est d’induire une ischémie tumorale contrôlée.

Selon l’indication, plusieurs approches sont possibles :
• 𝗧𝗔𝗘 (embolisation artérielle simple)
• 𝗧𝗔𝗖𝗘 (chimioembolisation avec 𝗟𝗶𝗽𝗶𝗼𝗱𝗼𝗹®️ ou billes chargées)
• 𝗧𝗔𝗥𝗘 (radioembolisation à l’𝗬𝘁𝘁𝗿𝗶𝘂𝗺-𝟵𝟬)
• Traitements combinés : ablation percutanée + embolisation associée
Les indications les plus courantes sont le carcinome hépatocellulaire (𝗕𝗖𝗟𝗖 intermédiaire), les métastases hépatiques hypervascularisées, les tumeurs neuroendocrines, les angiomyolipomes et certaines tumeurs rénales.
🚀 La semaine dernière, le service de 𝗥𝗜 a organisé un workshop dédié à l’embolisation tumorale avec l’équipe Terumo, notamment Carole Mancel
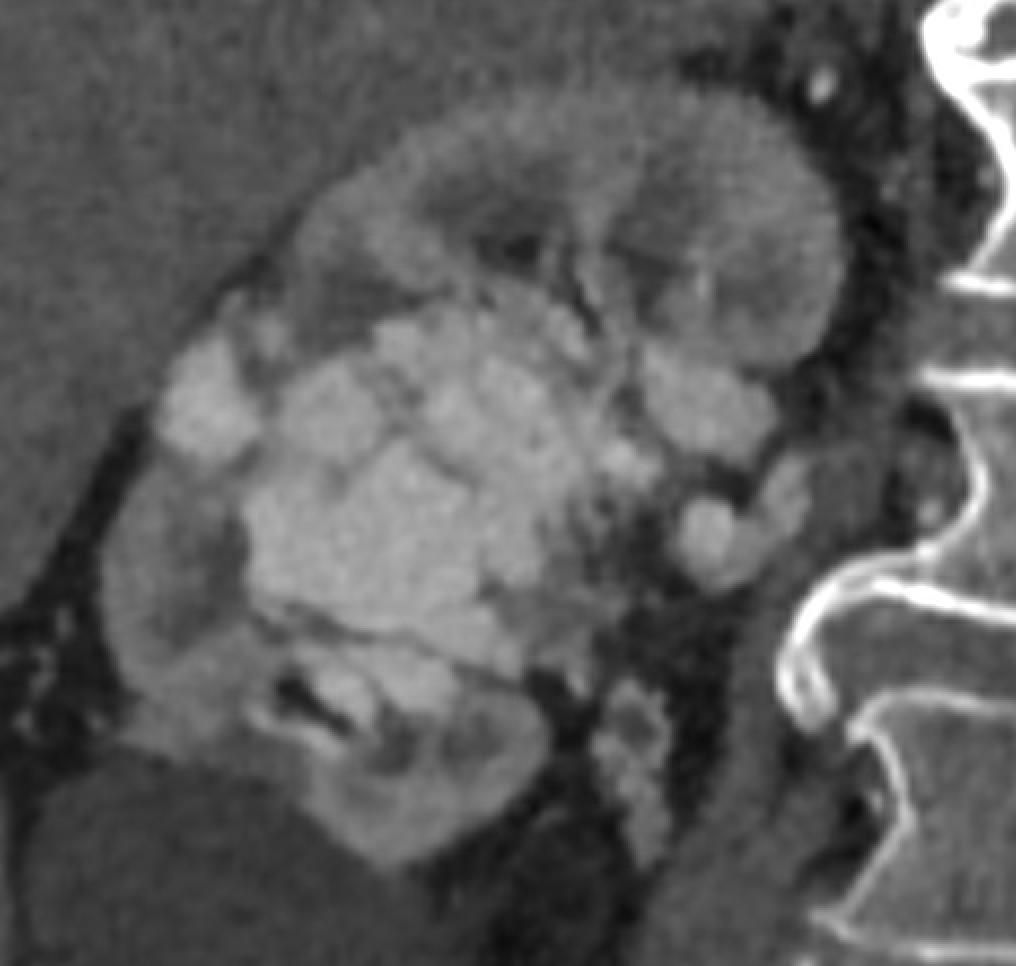
Dossier 1 : Volumineuse malformation artérioveineuse rénale, vraisemblablement secondaire à un carcinome à cellules claires du rein droit, de présentation atypique. Embolisation artérielle au 𝗦𝗾𝘂𝗶𝗱 (Balt) et au 𝗚𝗹𝘂𝗯𝗿𝗮𝗻 𝟮, à l’aide d’un micro-cathéter à ballonnet afin de ralentir le flux.
Dossier 2 : nodule de carcinose para-rectal isolément progressif dans un contexte d'adénocarcinome colique métastatique : traitement combiné par cryothérapie et embolisation aux billes.
🙏 Merci à l’ensemble des participants du workshop, ainsi qu’au laboratoire 𝗧𝗲𝗿𝘂𝗺𝗼 pour leur accompagnement durant cette formation et la mise à disposition de matériel de qualité.













