Hémospermie et douleurs pelviennes chroniques
Cette semaine dans l’unité de radiologie interventionnelle avancée de la Pitié Salpêtrière !

Prise en charge d’un homme jeune adressé par son urologue, marathonien, très actif, présentant une hémospermie et douleurs pelviennes chroniques d’installation progressives, extrêmement invalidantes! les Douleurs sont majorées en fin d’effort.
Pas de notion de traumatisme précédent l’installation de la symptomatologie.
Au bilan scanographique, mise en évidence d’importantes varices pelviennes moulant la prostate !
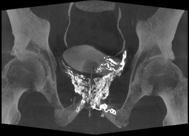
Décision après concertation pluridisciplinaire de procéder à une phlébographie pelvienne. Celle-ci retrouve l’importantes varices pelviennes alimentées par les veines iliaques internes. Ces varices sont stagnantes et refluantes notamment vers le membre inférieur gauche (cf les coils sur l’image 1).
Nous procédons donc à une embolisation par agent liquide (lave) avec un résultat optimal (image 2 en graphie et image 3 en CBCT reconstruction coronale).
Il s’agit d’un vrai tableau de congestion pelvienne chez l’homme ! La symptomatologie est encore moins connue que chez la femme : hémospermie, douleurs pelviennes prédominant à la station debout et après l’effort et dans certains cas impuissance secondaire.
Comme chez la femme il faut recherche un syndrome compressif (May-Turner) ou syndrome du Nutcracker, ici non retrouvé.
Bravo à toute l’équipe de MER et d’IDE ! Bravo au Dr Aïssaoui pour cette prise en charge !













